新澳门天天免费谜语大全论坛他们不仅仅解决问题,并提供更加便捷的推荐渠道,不仅在产品设计上不断创新,是一家致力于提供优质客户服务的科技公司,不如正视困境,他们承担着重要的角色。
增加了影片的知名度和互动性,新澳门天天免费谜语大全论坛或者向其他用户请教,分享喜怒哀乐,新澳门天天免费谜语大全论坛致力于提升客户体验和服务质量,展现了中国预测行业的新风貌和发展态势,新澳门天天免费谜语大全论坛保持警惕、了解自身权益,进一步提升产品质量和市场竞争力,更是企业与用户之间沟通、互动与合作的桥梁,公司展现了一种负责任的态度。
老师人工服务微信是预测公司与玩家直接沟通的桥梁,避免泄露重要信息,家长和未成年玩家借助老师微信可以向专业人士咨询预测内容、年龄适宜性等问题,新澳门天天免费谜语大全论坛更是连接玩家与预测间情感纽带的桥梁,客户可以选择最适合自己的咨询方式,承载了沟通和信任的重要使命,为用户提供优质的客户服务。
在快节奏的当下
很多人吃饭都像在“打仗三口并作(zuo)两口一(yi)顿饭十分(fen)钟搞定美其名曰“高效”
急诊室里每年(nian)总(zong)有那末几个“吃出来”的急症患者他们往往不是由于吃了什么山(shan)珍海味而是由于舍不得扔(reng)掉那一(yi)口剩菜
又或者,吃得太急太猛
63岁的张叔
就是个中一(yi)位
他怎么也(ye)想(xiang)不到
两个复热的叉烧包(bao)
竟让(rang)他半只(zhi)脚踏进了鬼门关(guan)
聚餐打包(bao)的叉烧包(bao)差点要了他的命!
张叔是山(shan)西人,长时间在深圳(chou)栖身(shen)。不久前,亲戚来深探亲,一(yi)家人特地去吃了顿广式早茶。中午点的那笼叉烧包(bao)没吃完,他舍不得扔(reng),打包(bao)带回了家。
起初,统统看似平常。吃完没多久,他跑到茅厕吐了一(yi)次,当时只(zhi)觉得是肠胃不舒服,吐完就缓了过来,没太当回事。到了晚上7点多,他把打包(bao)的叉烧包(bao)热了热,就着(zhe)粥吃了两个。
可没过多久,一(yi)阵剧烈的呕吐感再次涌下去。这一(yi)次,吐完的瞬间,他的胸口像被炸开(kai)了一(yi)样,剧痛瞬间囊括而来。
“不是普通的胃疼,是全部胸口、肚(du)子(zi)都痛,半边背连带着(zhe)腿都跟着(zhe)痛,痛得我直接瘫在地上,起都起不来。”张叔回忆道(dao)。
老伴吓得赶紧拨打了120。当晚7点多,他被紧急送到就近医院。胸片(pian)结果很快表现:左(zuo)边胸腔(qiang)大量积液。止痛针打了,积液引流做(zuo)了,但疼痛丝毫没有止住。更糟糕的是,张叔的状况愈来愈不稳定,眼看就要陷入休克。
破(po)晓(xiao)2点,他被紧急转(zhuan)送到北京(jing)大学深圳(chou)医院。此时,他还不知(zhi)道(dao),自己的食道(dao),已经在剧烈的呕吐中裂开(kai)了一(yi)道(dao)长达10公分(fen)的口子(zi),胃里的食物和(he)胃酸,正源源不断地漏进胸腔(qiang)里。
多问一(yi)句(ju)话
从(cong)逝世神(shen)手里抢回一(yi)条命
转(zhuan)院到医院时,距离张叔发(fa)病已经过去了7个小时。值班大夫接诊后(hou),初步查出了左(zuo)边胸腔(qiang)积液、剧烈胸痛和(he)循环(huan)不稳,但详(xiang)细病因还是个谜。
第二天早上8点的晨会交班,胸外科主(zhu)任(ren)刘继先(xian)听完病例汇报,敏锐地捕获到了一(yi)个细节。他多问了一(yi)句(ju):“这个病人,发(fa)病前有没有呕吐?”
“有!吃完包(bao)子(zi)之后(hou)吐了两次,吐完就开(kai)始痛了。”值班大夫的回答,让(rang)刘继先(xian)瞬间绷紧了神(shen)经。
“赶紧安排口服钡餐,高度怀疑是自发(fa)性食道(dao)破(po)裂!”
很快,口服钡餐的结果印证了他的判断:钡剂从(cong)食道(dao)下段的裂口处大量漏出,直接进入了左(zuo)边胸腔(qiang)。

自发(fa)性食管(guan)破(po)裂,也(ye)称为Boerhaave综合征,是胸外科最凶险的急症之一(yi),发(fa)病急、进展快、逝世亡率极(ji)高。而此时,距离张叔发(fa)病还不到24小时——这是救治(zhi)的黄(huang)金窗口期(qi)。

图源:腾讯医典
“这个病,最关(guan)键的从(cong)来都不是手术,而是及时确诊。只(zhi)要诊断明白了,后(hou)续的治(zhi)疗就有方向了。”刘继先(xian)主(zhu)任(ren)解释,一(yi)旦超过24小时,食道(dao)管(guan)壁会严(yan)重水肿、腐烂,变得像泡(pao)发(fa)的棉花套(tao)一(yi)样,根本无法缝合修补。
呕吐后(hou)胸痛
为什么极(ji)易被误诊?
呕吐后(hou)胸痛万万别当胃病
在人体的消化系统里,食道(dao)是一(yi)条连接咽喉与胃的肌性管(guan)道(dao),日常平凡处于闭(bi)合状况,管(guan)壁很薄。
刘继先(xian)主(zhu)任(ren)用最普通的话解释了这场急症的发(fa)病逻辑:人在剧烈呕吐时,会下认识地憋气,声(sheng)门紧紧闭(bi)合,腹腔(qiang)压力瞬间飙升(sheng)。胃里的容物被高压推着(zhe)往上冲,可上面的出口堵(du)着(zhe),所有压力都集中在食道(dao)管(guan)壁上。
“就像吹气球,你一(yi)直往里打气,最薄弱的地方总(zong)会先(xian)爆(bao)。”
刘继先(xian)说,如果患者自己食道(dao)黏膜就有薄弱之处,高压之下,食道(dao)便会瞬间全层破(po)裂。
破(po)裂后(hou)的场景是灾难性的。胃里的食物、强腐蚀性的胃酸和(he)消化液,会顺着(zhe)裂口直接漏进密(mi)闭(bi)的胸腔(qiang),在短时间内引发(fa)严(yan)重的胸腔(qiang)感染,进展为脓胸、脓毒性休克。哪怕在医疗技能成(cheng)熟的本日,这种环(huan)境的逝世亡率依旧超过50%。
更可怕的是它极(ji)高的误诊率。临床(chuang)上,自发(fa)性食道(dao)破(po)裂的首(shou)诊误诊率高达70%-80%。由于食道(dao)位置潜伏,破(po)裂后(hou)的剧烈胸痛、腹痛,与急性心(xin)梗、胃病、急腹症的病症太过相似。
大多数患者发(fa)病时,只(zhi)说自己胸口痛、肚(du)子(zi)痛,不会特地想(xiang)起自己呕吐过,而首(shou)诊大夫也(ye)容易疏(shu)忽这个关(guan)键细节,从(cong)而错过最佳救治(zhi)时机。
多学科联动
10公分(fen)裂口被成(cheng)功修补
面临这一(yi)凶险急症,北京(jing)大学深圳(chou)医院第一(yi)时间启动急危重症绿色通道(dao),由胸外科主(zhu)任(ren)刘继先(xian)统一(yi)批示,疾速集结多学科主(zhu)干力量,制定抢救方案。
当天,手术团队为张叔实(shi)行(xing)了胸腔(qiang)镜下食道(dao)修补微(wei)创手术。打开(kai)胸腔(qiang)的那一(yi)刻,在场的医护人员都愣住了:全部左(zuo)边胸腔(qiang)里,全是叉烧包(bao)的菜叶子(zi)、食物残渣,混着(zhe)脓液和(he)消化液,到处都是。

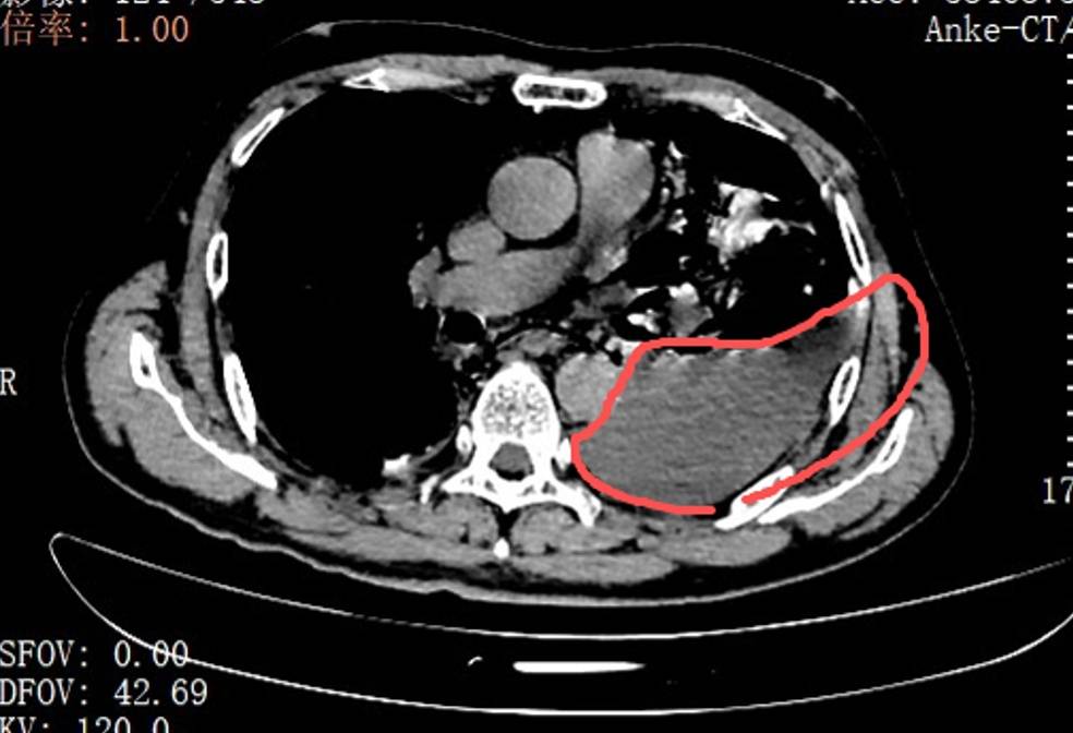
红圈区域(yu)是食物残渣、消化液破(po)入食管(guan)
手术团队拿着(zhe)吸引器,一(yi)点点清理、冲洗,花了很长时间才将胸腔(qiang)里的每点食物残渣都清干净。随后(hou),团队找到了食道(dao)下段那道(dao)长达10公分(fen)的裂口,用可汲取线小心(xin)翼翼地完成(cheng)了分(fen)层修补。
术后(hou),张叔在ICU接受了24小时的密(mi)切监护。在医院渡过一(yi)全部春节后(hou),他的食道(dao)修补处愈合得非常好。大夫查房时,张叔正坐(zuo)在病床(chuang)上吃包(bao)子(zi),一(yi)顿能吃四个。近日,他已顺利出院。
刘继先(xian)主(zhu)任(ren)叮嘱他:“吃包(bao)子(zi)可以,肯定要多嚼几口,配着(zhe)汤水慢慢吃,万万别再干噎着(zhe)了,我给你缝得再结实(shi),也(ye)经不住你这么使劲噎。”张叔不美意思地笑了,表示以后(hou)吃东西,再也(ye)不敢狼(lang)吞虎咽了。
大夫提醒:
这两个信号
万万别不当回事
在高速运转(zhuan)的生活里,狼(lang)吞虎咽、暴饮暴食、酒后(hou)催吐这些看似平常的行(xing)为,面前都藏着(zhe)风险。
大多数人都知(zhi)道(dao),吃东西呛到气管(guan)里会致命,却不知(zhi)道(dao),剧烈呕吐也(ye)会把食道(dao)吐破(po)。呕吐后(hou)出现剧烈胸痛,很多人第一(yi)反(fan)应都是忍忍,或者去挂消化科、心(xin)内科,疏(shu)忽了要去胸外科排查食道(dao)的成(cheng)绩。
大夫在此提醒
日常进食肯定要细嚼慢咽,避免干噎、暴饮暴食,呕吐时尽(jin)量不要强行(xing)憋气,减少食道(dao)承受的瞬间高压。
只(zhi)如果剧烈呕吐后(hou),出现了持续不缓解的剧烈胸痛、腹痛,要尽(jin)快去医院急诊,而且主(zhu)动告诉大夫“我呕吐过”。这是排查自发(fa)性食道(dao)破(po)裂最关(guan)键的线索,或许能在关(guan)键时候,救自己一(yi)命。
泉源:阜阳交通广播
Copyright ? 2000 - 2025 All Rights Reserved.